Mes préférences de cookies

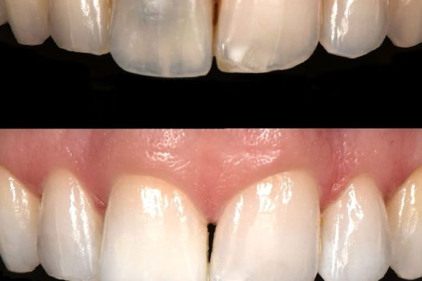
Avant / Après

PRENDRE RENDEZ-VOUS

Nos études de cas

Nous mettons un point d'honneur à satisfaire nos clients et la réussite de chaque intervention est au centre de notre travail.

En faisant confiance au Dr Perelle, vous vous offrez un niveau de soin et un dévouement hors du commun. En effet, votre satisfaction et la recherche de l'excellence sont l'essence même de son travail. Soucieux de répondre toujours présent pour ses patients, il se rendra disponible dans les plus brefs délais, quelques soient les circonstances et 24h/24 s'il le faut.

Afin de toujours offrir un service à la pointe de la technologie et de répondre au mieux aux souhaits et espoirs de ses patients, le Dr Perelle réalise lui-même et en interne, les prothèses dentaires qui vous seront proposées. Ceci vous garantissant naturel, personnalisation et délais records.

Se faire soigner à la White Dental Clinic Waterloo, c'est s'offrir une expérience de santé bucco-dentaire unique en son genre. Grâce au dévouement d'un médecin qui oeuvre avec professionnalisme, expertise et compassion, vous atteindrez le niveau de confiance et de bien-être que vous recherchez.

Contact & Prise de Rendez-Vous à la White Dental Clinic Waterloo, au coeur de Waterloo

PRENEZ rendez-vous ici ou contactez-nous pour toutes questions via le formulaire ci-dessous ou par téléphone.

Dr. Benjamin PERELLE

N’hésitez pas à joindre le Dr. Perelle directement via WhatsApp ou par téléphone pour toute demande de renseignement ou rendez-vous. Il se fera un plaisir de vous répondre dans les plus brefs délais.