Mes préférences de cookies

Avant / Après

PRENDRE RENDEZ-VOUS

Nos études de cas

Nous mettons un point d'honneur à satisfaire nos clients et la réussite de chaque intervention est au centre de notre travail.

En faisant confiance au Dr Perelle, vous vous offrez un niveau de soin et un dévouement hors du commun. En effet, votre satisfaction et la recherche de l'excellence sont l'essence même de son travail. Soucieux de répondre toujours présent pour ses patients, il se rendra disponible dans les plus brefs délais, quelques soient les circonstances et 24h/24 s'il le faut.

Afin de toujours offrir un service à la pointe de la technologie et de répondre au mieux aux souhaits et espoirs de ses patients, le Dr Perelle réalise lui-même et en interne, les prothèses dentaires qui vous seront proposées. Ceci vous garantissant naturel, personnalisation et délais records.

Se faire soigner à la White Dental Clinic Waterloo, c'est s'offrir une expérience de santé bucco-dentaire unique en son genre. Grâce au dévouement d'un médecin qui oeuvre avec professionnalisme, expertise et compassion, vous atteindrez le niveau de confiance et de bien-être que vous recherchez.


  • Invisalign

Invisalign

DANS #Invisalign

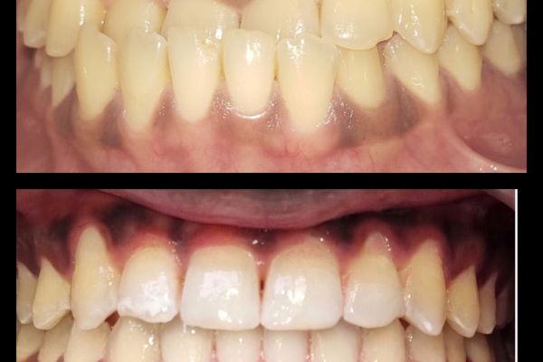
À 30 ans, ce jeune homme ne pouvait ni sourire en public ni manger correctement.

Après avoir consulté plusieurs spécialistes, il ne souhaitait pas subir de chirurgie de la mâchoire. Lors de son examen, le Dr FOURDIN a diagnostiqué un articulé croisé antérieur complet : sa mâchoire inférieure passait devant la supérieure, un cas de Classe III dentaire.

Malgré cette situation, son profil et l’esthétique de son visage étaient harmonieux. Le vrai problème venait d’un décalage dentaire : les dents inférieures avancées et les supérieures reculées, associées à des molaires inclinées vers l’avant pour compenser. Ce verrouillage antérieur impactait son sourire et sa mastication.

Le plan de traitement mis en place a permis de réaligner les arcades sans chirurgie :
✅ Avancer les incisives maxillaires et les repositionner correctement.
✅ Reculer et abaisser les dents inférieures pour rééquilibrer l’occlusion.
✅ Utilisation d’aligneurs et d’élastiques, portés avec assiduité pendant 15 mois.

Aujourd’hui, le patient est très satisfait 🎉. Il retrouve un sourire équilibré et un confort de mastication optimal.

Nous lui avons proposé un léger stripping pour réduire le « triangle noir » entre ses incisives centrales, ainsi qu’une gingivectomie et une restauration sur son incisive latérale, mais il a choisi de ne pas poursuivre ces étapes.

Une transformation réussie, sans chirurgie, grâce à une approche orthodontique personnalisée ✨😃

#Orthodontie #SansChirurgie #SourireTransformé #AlignementDentaire #ConfianceEnSoi

Contact & Prise de Rendez-Vous à la White Dental Clinic Waterloo, au coeur de Waterloo

PRENEZ rendez-vous ici ou contactez-nous pour toutes questions via le formulaire ci-dessous ou par téléphone.

Dr. Benjamin PERELLE

N’hésitez pas à joindre le Dr. Perelle directement via WhatsApp ou par téléphone pour toute demande de renseignement ou rendez-vous. Il se fera un plaisir de vous répondre dans les plus brefs délais.