Mes préférences de cookies

Avant / Après

PRENDRE RENDEZ-VOUS

Nos études de cas

Nous mettons un point d'honneur à satisfaire nos clients et la réussite de chaque intervention est au centre de notre travail.

En faisant confiance au Dr Perelle, vous vous offrez un niveau de soin et un dévouement hors du commun. En effet, votre satisfaction et la recherche de l'excellence sont l'essence même de son travail. Soucieux de répondre toujours présent pour ses patients, il se rendra disponible dans les plus brefs délais, quelques soient les circonstances et 24h/24 s'il le faut.

Afin de toujours offrir un service à la pointe de la technologie et de répondre au mieux aux souhaits et espoirs de ses patients, le Dr Perelle réalise lui-même et en interne, les prothèses dentaires qui vous seront proposées. Ceci vous garantissant naturel, personnalisation et délais records.

Se faire soigner à la White Dental Clinic Waterloo, c'est s'offrir une expérience de santé bucco-dentaire unique en son genre. Grâce au dévouement d'un médecin qui oeuvre avec professionnalisme, expertise et compassion, vous atteindrez le niveau de confiance et de bien-être que vous recherchez.


  • Invisalign

Invisalign

DANS #Invisalign

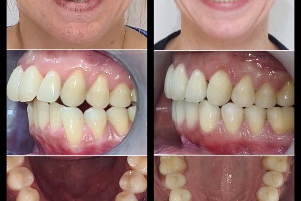
À 35 ans, cette patiente avait la sensation que ses dents étaient trop en avant.

Sa mandibule reculée et son maxillaire avancé créaient un décalage connu sous le nom de Classe II. Cette situation entraînait non seulement un bruxisme nocturne, mais aussi des rides au menton causées par une contraction excessive des muscles.

En plus de l’esthétique, cette position dentaire pouvait impacter sa respiration et son confort au quotidien.

Le Dr FOURDIN au sein de la White Clinic mis en place un traitement en deux étapes :

5 mois avec un Carrière Motion pour avancer la mandibule et équilibrer l’occlusion.
10 mois avec des aligneurs #INVISALIGN pour affiner les corrections et harmoniser le sourire.

Aujourd’hui, cette patiente respire mieux, son bruxisme a disparu et son visage s’est adouci, lui offrant une apparence plus jeune et un sourire éclatant ✨😃

#Orthodontie #SourireRetrouvé #AlignementDentaire #ConfianceEnSoi #EsthétiqueDentaire

Contact & Prise de Rendez-Vous à la White Dental Clinic Waterloo, au coeur de Waterloo

PRENEZ rendez-vous ici ou contactez-nous pour toutes questions via le formulaire ci-dessous ou par téléphone.

Dr. Benjamin PERELLE

N’hésitez pas à joindre le Dr. Perelle directement via WhatsApp ou par téléphone pour toute demande de renseignement ou rendez-vous. Il se fera un plaisir de vous répondre dans les plus brefs délais.